>

Những tác hại của việc bọc răng sứ giá rẻ

Trong bài viết dưới đây, chúng tôi sẽ cập nhật những hậu quả không ngờ đến từ việc lựa chọn bọc răng sứ giá rẻ. Vì vậy, để đảm bảo quá trình bọc răng sứ diễn ra an toàn và không gây ảnh hưởng nào trong quá trình sử dụng, bạn nghiên cứu và lựa chọn địa chỉ nhà khoa đáng tin cậy và chất lượng.

1. Những tác hại nghiêm trọng của việc bọc răng sứ giá rẻ

Xu hướng làm đẹp hiện nay được rất nhiều người lựa chọn chính là sử dụng phương pháp bọc răng sứ thẩm mỹ, mang đến nụ cười hoàn hảo, hàm răng trắng sáng và đồng thời tiết kiệm chi phí. 

Tuy nhiên, thực hiện thành công một ca răng sứ thẩm mỹ phụ thuộc vào nhiều yếu tố quan trọng. Đầu tiên, cần tìm đến các bác sĩ có chuyên môn cao và kinh nghiệm trong lĩnh vực này. Bên cạnh đó, trang thiết bị hiện đại và vô trùng cũng là cần thiết. Đặc biệt, một hệ thống labo khép kín để đảm bảo quá trình thực hiện chính xác, thuận lợi và tiết kiệm thời gian.

Boc Rang Su Gia Re 30

Nhưng vẫn có rất nhiều người mắc phải sai lầm lớn khi tin vào những lời quảng cáo quảng cáo hấp dẫn từ những phòng khám chất lượng kém, để lựa chọn những loại sứ răng sứ giá rẻ và phải chịu những hậu quả không ngờ tới. 

Vì vậy, trước khi quyết định có nên chọn bọc răng sứ giá rẻ, bạn cần lưu ý rằng quá trình làm răng sứ nếu không cẩn thận có thể gây ra nhiều hậu quả đáng tiếc. Không chỉ làm mất đi vẻ đẹp tự nhiên, mà còn có thể gây ra các biến chứng nguy hiểm, ảnh hưởng đến quá trình nhai và những điều trị về sau này.

1.1 Gây đen viền răng mấy đi tính thẩm mỹ

Đây là một trong những tác động tiêu cực của việc sử dụng răng sứ giá rẻ. Lý do chính là lựa chọn các dòng răng sứ sườn kim loại, có giá thành thấp hơn đáng kể so với răng toàn sứ. Với lớp kim loại bên trong, khi được gắn vào miệng, theo thời gian, lớp kim loại bị oxi hóa và dần dần tạo thành vùng đen bao quanh vật liệu do vi khuẩn phá hoại.

Ngoài ra, tình trạng này cũng có thể xảy ra khi các bác sĩ mài răng quá nhiều, gây tổn thương đến tủy, thậm chí là chết tủy. Điều này sẽ làm cho răng tụt khỏi lợi, có viền đen và có thể dẫn đến mất răng.

Boc Rang Su Gia Re Gay Den Vien Nuou 30

1.2 Dẫn đến đau nhức, khó chịu

Sau một thời gian sử dụng, việc bọc răng sứ giá rẻ không đảm bảo chất lượng sẽ mang đến cảm giác đau đớn và khó khăn. Khi gặp các bác sĩ không có đủ chuyên môn có thể khiến khoảng cách giữa các răng bọc sứ không được điều chỉnh chính xác, tạo điều kiện cho thức ăn dễ bị tụt lại và gây hôi miệng. Theo thời gian, điều này sẽ gây ra cơn đau kéo dài và nhạy cảm, đặc biệt khi bạn ăn các thức ăn quá nóng hoặc quá lạnh.

Ngoài ra, một số người còn có thể gặp tình trạng vướng víu và cộm khi nhai. Điều này khiến bạn không muốn ăn nữa và có ảnh hưởng đến sức khỏe và rất dễ dẫn đến các bệnh về hệ tiêu hóa.

Boc Rang Su Gia Re Gay Cam Giac Dau Nhuc 30

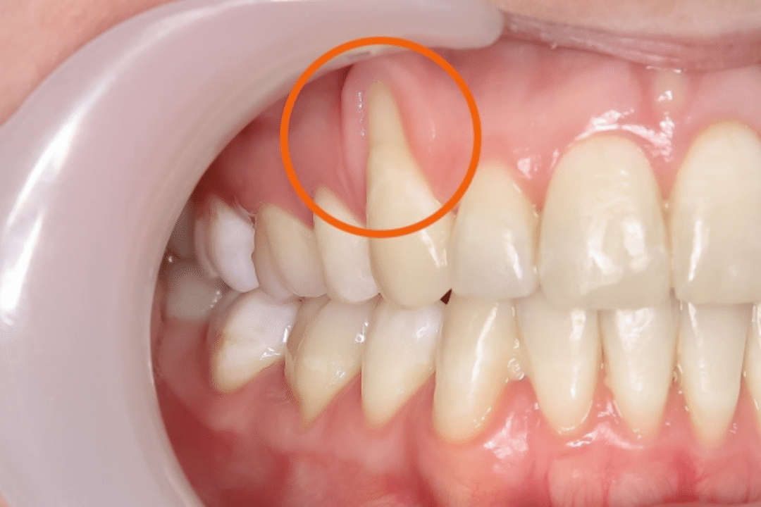
1.3 Hở cổ chân răng

Hơn nữa, hở cổ chân răng cũng là một hậu quả khác khi bọc răng sứ giá rẻ. Việc gắn răng không khít hoặc quy trình chế tạo và gắn không đạt tiêu chuẩn sẽ dẫn đến việc lợi bị tụt và cổ chân răng bị hở.

Tinh Trang Ho Co Chan Rang 30

1.4 Tụt lợi, viêm lợi

Có 2 nguyên nhân chủ yếu dẫn đến viêm lợi, cụ thể: 

  • Bọc răng sứ giá rẻ, kém chất lượng: Khi sử dụng răng sứ không đạt tiêu chuẩn chất lượng có thể khiến nướu bị sưng đỏ, chảy máu và ảnh hưởng đến khả năng ăn nhai.
  • Trường hợp khác là do bác sĩ không có chuyên môn, tính toán không đúng, mài quá nhiều mô răng thật hay xâm lấn vào khoảng sinh học, việc này dễ dẫn đến viêm lợi, tụt lợi chỉ sau vài tháng bọc răng sứ.

Tinh Trang Tut Loi 30

1.5 Răng sứ bị vỡ

Với răng sứ chất lượng chúng sẽ đảm bảo được độ cứng và độ chịu nhiệt đủ để đảm bảo khả năng ăn nhai trong thời gian dài. Tuy nhiên, với những loại răng sứ giá rẻ, chất lượng không đảm bảo, khi nhai những thức ăn cứng hoặc đồ quá dai, răng sứ có thể mẻ, sứt hoặc vỡ. 

Nếu gặp tình trạng này, bạn nên đến nha khoa để khắc phục kịp thời nếu không vi khuẩn có thể xâm nhập gây ra các bệnh lý liên quan đến răng miệng. 

Rang Su Bi Vo 30

1.6 Gây hỏng răng gốc

Một số trường hợp bác sĩ thực hiện quá trình làm răng sứ không đúng kỹ thuật, gây ra chứng viêm nhiễm nặng và gây hại cho răng thật. Thậm chí nặng hơn còn làm mất răng và khó để khôi phục lại răng như ban đầu.

Hong Rang Goc 30

2. Tìm hiểu quy trình bọc răng sứ chuẩn nha khoa hiện nay

Nhằm mang đến cho khách hàng bọc răng sứ kết quả tối ưu nhất, các bác sĩ thực hiện cần tuân thủ quy trình, kỹ thuật. Khi đến với Nha Khoa 5S, quy trình bọc răng sứ sẽ được tiến hành theo các bước sau:

  • Bước 1: Đầu tiên, bạn sẽ được bác sĩ thăm khám và chụp phim X – quang.
  • Bước 2: Được lên kế hoạch điều trị cụ thể.
  • Bước 3: Bắt đầu gây tê và tiến hành mài răng.
  • Bước 4: Sau đó sẽ lấy dấu mẫu hàm chuẩn và thiết kế mão sứ đúng tỷ lệ
  • Bước 5: Cuối cùng là bọc mão răng sứ phục hình

Quy Trinh Boc Rang Su 2 30

3. Làm thế nào để khắc phục hậu quả bọc răng sứ giả

Có nhiều khách hàng nghĩ đơn giản rằng chỉ việc thay răng mới sẽ giải quyết mọi vấn đề. Tuy nhiên, không ít trường hợp lớp sứ thâm đen vào sâu nướu, gây ra tình trạng không thể xử lý triệt để. Vì vậy, khi có dấu hiệu như vậy, điều quan trọng là phải đến phòng khám nha khoa sớm nhất để có thể giải quyết vấn đề kịp thời.

Thực tế, việc bọc răng sứ giá rẻ có thể tiềm ẩn nhiều rủi ro đối với sức khỏe răng miệng. Lựa chọn một dòng răng sứ chất lượng và thực hiện quá trình làm răng tại một nha khoa uy tín là điều tốt nhất. Không nên vì ham muốn tiết kiệm chi phí mà dẫn đến hậu quả “tiền mất tật mang”.

Nha Khoa Kham Rang Su 30

4. Nha Khoa 5S – Phòng khám nha khoa bọc răng sứ uy tín

Tại TP. Mỹ Tho, Nha Khoa 5S được biết đến như một địa chỉ đáng tin cậy được nhiều khách hàng lựa chọn để thăm khám và điều trị các vấn đề về răng miệng, đặc biệt là bọc răng sứ. Với tiêu chuẩn chất lượng hàng đầu, chúng tôi cam kết đáp ứng các yêu cầu sau:

  • Đội ngũ nhà sĩ chuyên môn cao có nhiều kinh nghiệm trong lĩnh vực nhà khoa.
  • Cơ sở trang bị máy móc hiện đại, luôn theo kịp những tiến bộ công nghệ mới nhất trên toàn thế giới. 
  • Đội ngũ nhân viên tại Nha Khoa 5S luôn tư vấn tận tâm và nhiệt tình.
  • Không gian phòng khám được thiết kế sang trọng, rộng rãi, sạch sẽ và thoải mái.
  • Luôn đảm bảo giá thành cạnh tranh nhất trên thị trường, cam kết mang đến cho khách hàng giá trị tốt nhất với mức giá hợp lý.

Nha Khoa 5S Dia Chi Boc Rang Su Uy Tin 30

Trên đây, bài viết đã giúp bạn học hiểu rõ hơn về những tác hại khi bọc răng sứ giá rẻ. Điều quan trọng nhất lựa chọn một nha khoa uy tín và chất lượng, Nha Khoa 5S mong muốn sẽ được đồng hành và hỗ trợ quý khách hàng trên hành trình làm đẹp nụ cười. Liên hệ với chúng tôi để được đặt lịch tư vấn miễn phí và chuyên nghiệp nhất!

Để lại một bình luận

Email và SĐT của bạn sẽ không được hiển thị công khai. Các trường bắt buộc được đánh dấu *

Gọi ngay 0788009123Tư vấn qua ZaloChi Nhánh Mỹ ThoChi Nhánh Gò Vấp